Your Trusted Dental Team
Our experienced team provides comprehensive care for your family, from preventive treatments to cosmetic enhancements, ensuring everyone’s oral health is in good hands.
Smile with Confidence
At Healthy Smile, we offer personalized dental care to help you achieve the perfect smile, boost your confidence, and enhance your self-esteem.
ABOUT OUR CLINIC
Your Oral Health, Our Priority
We take a holistic approach to your care, ensuring your comfort and well-being with every visit while working to maintain a lifetime of healthy smiles.
Advanced Technology for Better Care
With the latest dental technology, we offer faster, more precise treatments that prioritize your comfort and deliver exceptional results.

need dental services ?


Call Us At: (215) 322-2262

opening hours

10:00 AM to 7:00 PM

Your Southampton Dentist Office

At Advanced Dental Group, Drs. Michael and Phillip Belder, pride themselves and their staff in providing quality family dentistry that is convenient and comfortable for everyone. We are family owned and operated. In fact, it is a great compliment to us that many of our patient families are multi-generational, some starting out as children and have returned with their own families.

With two convenient locations and flexible business hours for working professionals, we make it easier for busy people like you to access the care that they need. We have two Bucks County locations in Southampton and Doylestown and flexible hours include late evening appointments and Saturday hours!

Our Limited Time Special Offers

Advanced Dental Group is where science meets art to create the perfect smile. Experience excellence in dentistry with our special offers.

$75

New Patient Special

We’d like to welcome new patients to Advanced Dental Group with our $75 new patient special!

FREE

Orthodontic Evaluation

Would you or your child benefit from orthodontic treatment? Come in today to find out!

$139

At-Home Teeth Whitening Trays

Get the bright white smile you’ve always wanted! Contact us today to get your $139 whitening trays.

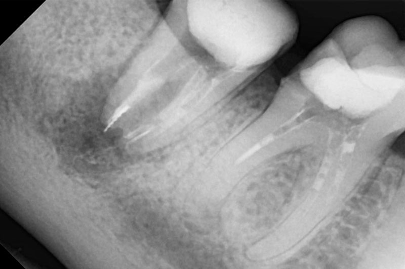
Diagnosis of Dental Diseases

We are committed to sustainability and eco-friendly initiatives.

Experienced Doctors

Wide scope of procedures from Root Canals to Implants to Cosmetic Makeovers.

Personalized Care

Teamwork between Hygienists and Dentist are essential for preventative care and maintenance.

Payment Options

Our front desk team maximizes your insurance and can connect you with 3rd party financing options.

Emergency Dentistry

Same-Day Appointments for pain are our priority!

Positive Patient Reviews

Our patients often bring over the whole family for dental care after positive experiences!

Latest Technology

Low radiation, high accuracy x-rays, latest materials, and digital impressions/design.

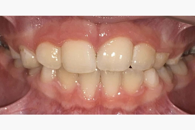
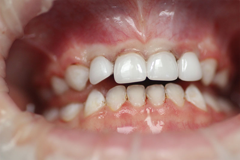
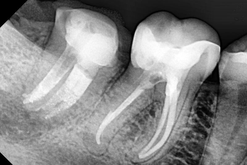
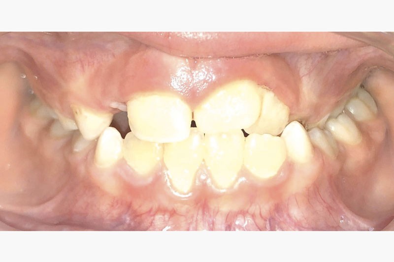
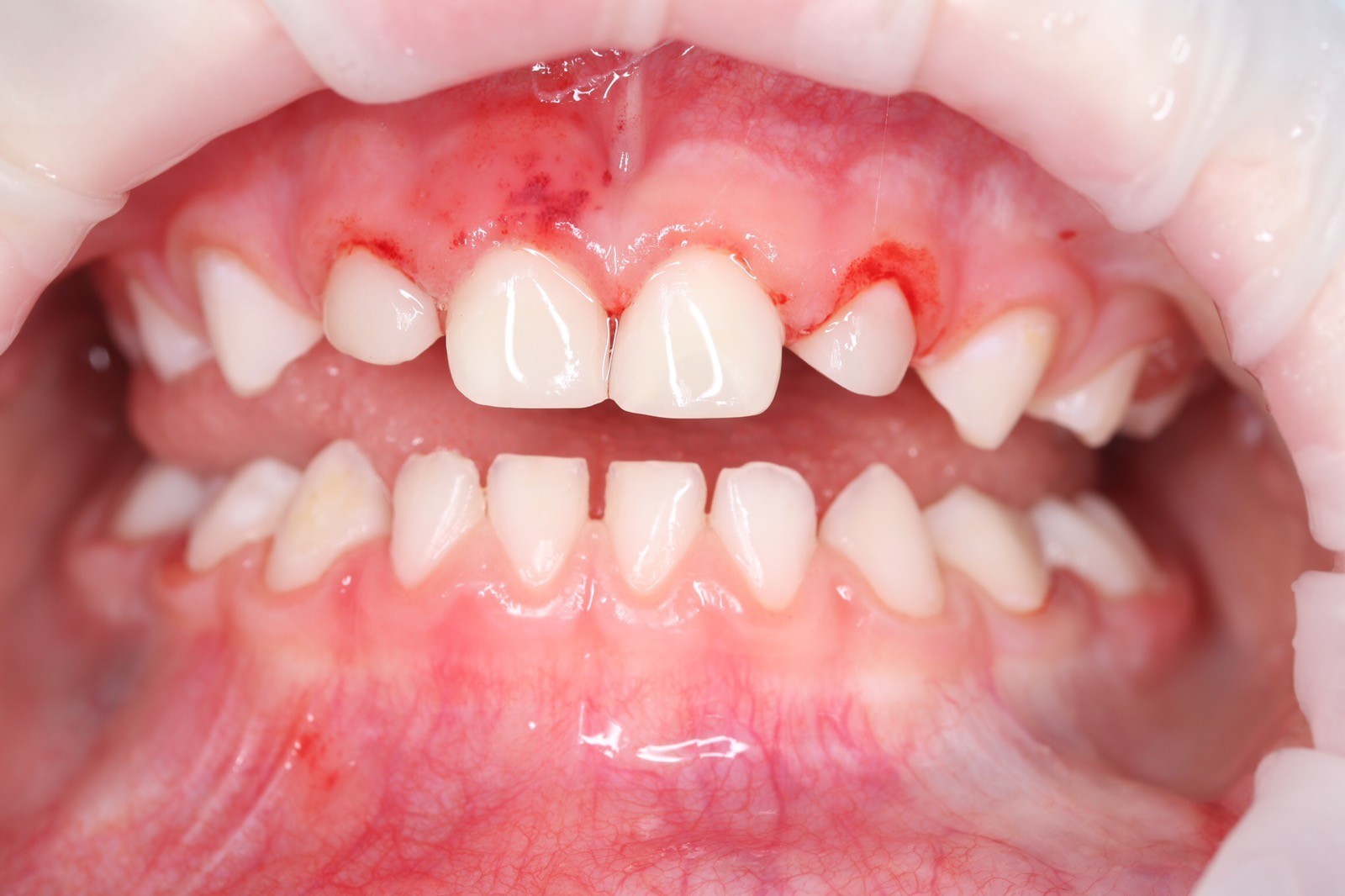
Our work

Pediatric Dentistry

portfolio_2_2portfolio_2_1

Adult Dentistry

portfolio_1portfolio_1_1
koronky_2koronky_1
lechenie-molochnyh-zubov_1lechenie-molochnyh-zubov_2
Scroll to Top